Vetík

VETÍK

lekarnicka

První pomoc

a jiné veterinární rady

Příběhy Rocky s kulháním na pravou hrudní končetinu
image

14.05.2020

Rocky s kulháním na pravou hrudní končetinu

Rocky je krasavec, se kterým se život nemazlil. Nejprve žil přivázaný u stromu, poté se čas změnil a strom se vystřídal řetěz v kotci. Žil ve vlastních výkalech, bez dostatku čerstvé vody a krmiva. Až po dlouhém nekonečném čase přišla záchrana, a to v podobě tet z Voříškova. Rocky k nim přišel na začátku tohoto roku celý pohublý, kulhající, se zažívacími potíži a s velkým strachem z cizích lidí.

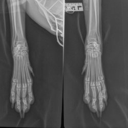
Protože kulhání na pravou hrudní nožičku stále přetrvává, vzaly minulý týden Rockyho tety z Voříškova na vyšetření k panu doktoru.

Rockymu jsem na transparentní účet Voříškova zaslal 500 Kč jako podporu s úhradou veteriny.

Děkuji za to Vám. Smečkově to zvládáme.

 

Váš Vetík

Rocky
Rocky
Rockyho první bydliště
Rockyho první bydliště
Rockyho druhé bydliště
Rockyho druhé bydliště
Rocky
Rocky
RTG snímek Rocky
RTG snímek Rocky
RTG snímek Rocky
RTG snímek Rocky
RTG snímek Rocky
RTG snímek Rocky
RTG snímek Rocky
RTG snímek Rocky
RTG snímek Rocky
RTG snímek Rocky
RTG snímek Rocky
RTG snímek Rocky